Muž 50 let – kabozantinib v 1. linii léčby mRCC
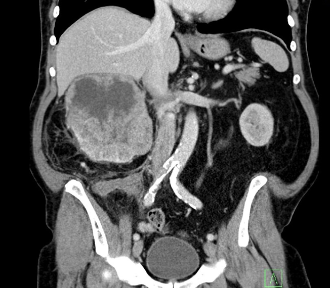
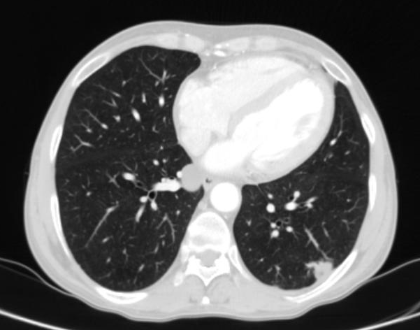
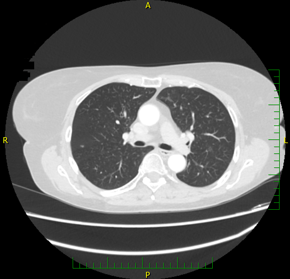
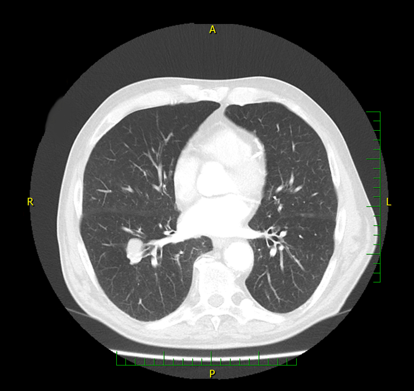
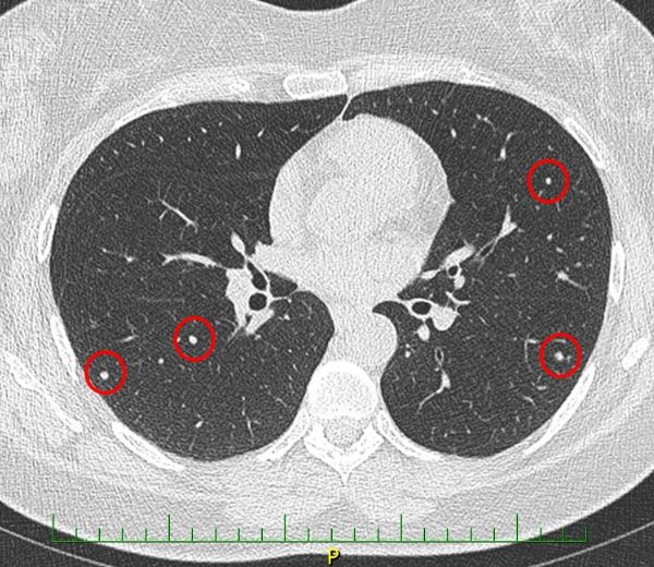
Do vaší ordinace vchází Milan Drahoš. Než se padesátiletý, velmi obézní muž dostane ode dveří k vámi nabízené židli, zadýchá se. Podle CT hrudníku, který si s sebou pacient přináší, má zvětšené uzliny v oblasti mediastina. Snímek odhaluje také mnohočetná ložiska plic. Není na co čekat, je třeba co nejrychleji zahájit léčbu. Ujmete se tohoto případu?
autor: MUDr. Anežka Zemánková; Onkologická klinika Fakultní nemocnice Olomouc,
publikováno: 29.03.2022